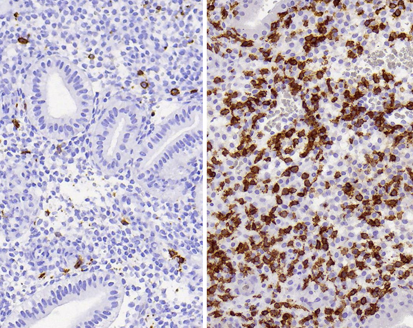
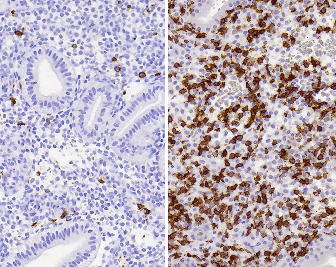
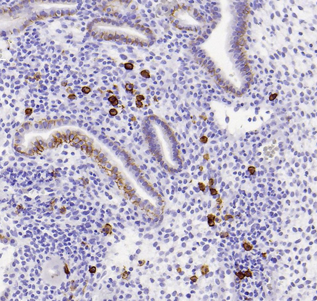
Your partner in reproductive medicine
We offer a high quality analysis of your endometrial biopsy, especially for patients with recurrent miscarriage or implantation failure.
Learn more




