Ihr Partner für Ihren Kinderwunsch
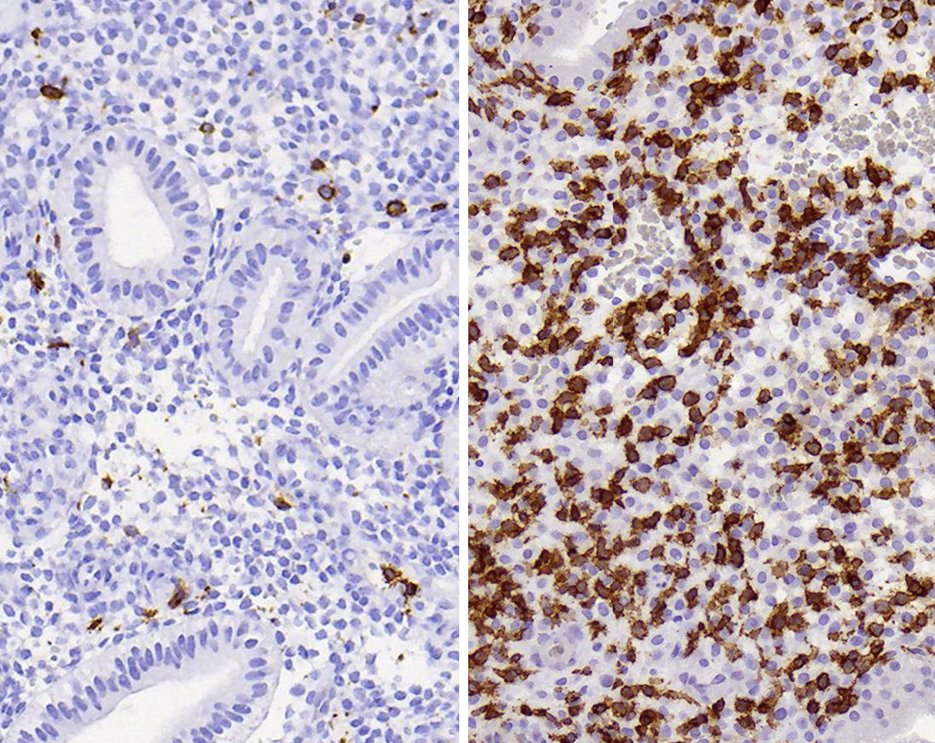
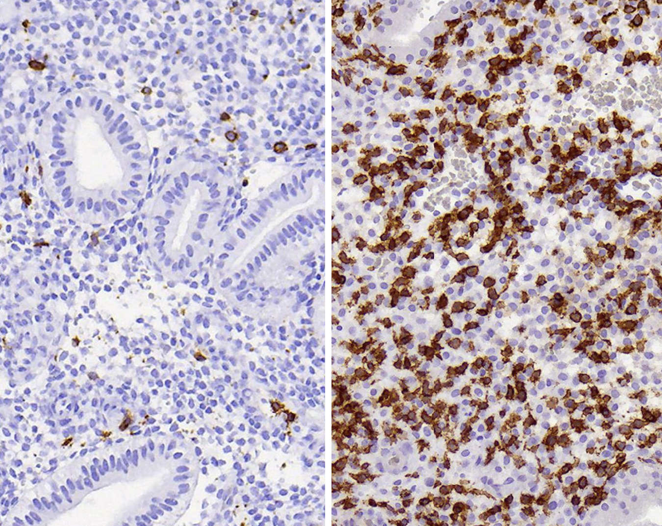
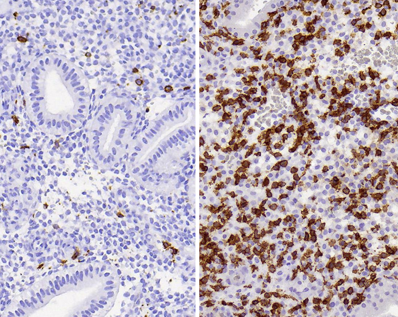
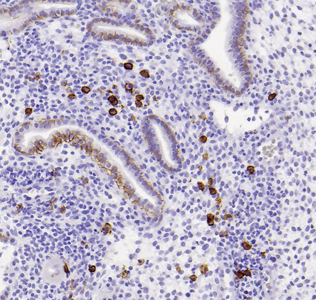
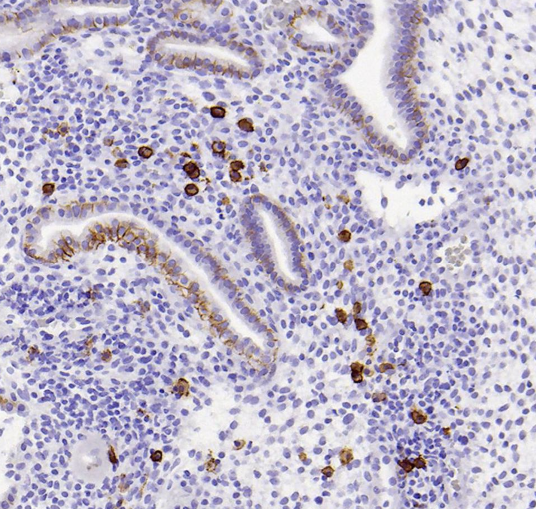
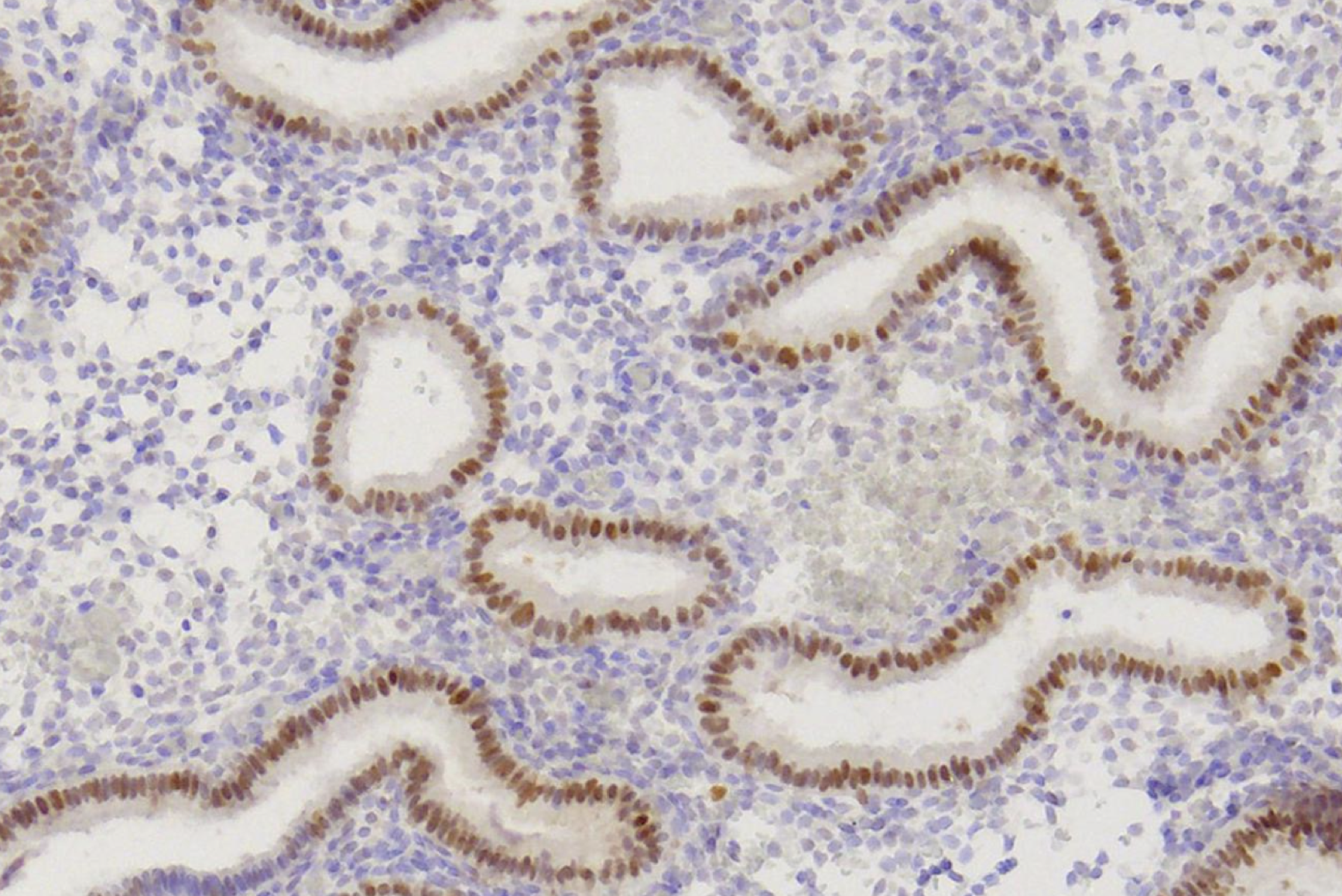
Wir bieten professionelle Unterstützung, z.B. bei wiederholten Fehlgeburten oder Implantationsversagen, durch Analyse ihrer Endometriumbiopsie. In 2024 lag die mittlere Befundungsdauer nach Eingang der Proben bis zum Versand des Befundes bei 5 Tagen.
Erfahren Sie mehr




